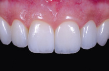
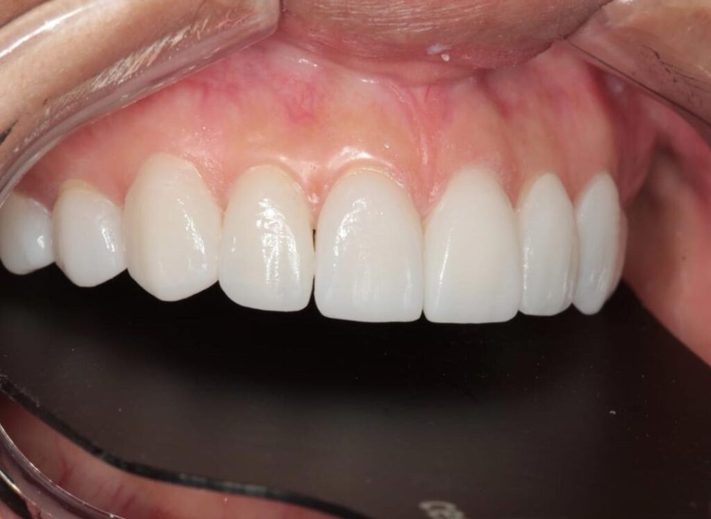
Una cerámica vítrea original de disilicato de litio (LS2) para la técnica de inyección, ofrece un ajuste, función y resultados estéticos excelentes, combinados con una alta resistencia con una gran variedad de colores y niveles de traslucidez para conseguir estética y máxima flexibilidad.
Carillas
- Proporcionan un acabado muy natural gracias a la delgadez de las mismas (0,3 milímetros).
- Puede mejorar la forma el tamaño y el alineamiento de los dientes, cerrar diastemas y mejorar color.
- Diferentes tonalidades que se adaptarán al color natural del diente del paciente.
- La unión adhesiva con el tejido dental, obtiene una unión efectiva y duradera, se pueden garantizar las restauraciones en un 100%.
CONTÁCTENOS
TELEFONO:
(571) 472 5401
COMUNICATE A TRAVÉS DE:
aestheticdentallab@hotmail.com
+57 301 7785377
(571) 472 5401
COMUNICATE A TRAVÉS DE:
UBÍCANOS EN:
Carrera 27 # 2 – 42 Bogotá






